آینده دندانپزشکی: از درمانهای سنتی تا فناوریهای شگفتانگیز
تصور کنید صبح یک روز کاری، بیماری وارد مطب دندانپزشک میشود که سالها از ترس درد درمانهای لازم را عقب انداخته. لبخندش محو شده، غذا خوردن برایش سخت شده و حتی اعتماد به نفسش را از دست داده. حالا دنیای امروز دندانپزشکی راههای فوقالعادهای پیش پایش گذاشته: از ایمپلنتهای پیشرفته بدون نیاز به برشهای عمیق، تا داروهایی که امکان رشد دوباره دندان را فراهم میکنند. این همان جایی است که «درمانهای دندانپزشکی» دیگر فقط یک فرآیند پزشکی نیست، بلکه یک تجربهی امیدوارکننده است.
انجمن دندانپزشکان https://dentistcommunity.ir جامعترین مقالات حوزه دندانپزشکی، راهنمای انتخاب و کار با تجهیزات مدرن، معرفی ابزارها و دستگاههای روز دنیا، آموزشهای علمی و پاسخ به سوالات متداول بیماران قرار دارد. ما تلاش میکنیم با جمعآوری و تولید محتوای تخصصی، جدیدترین اخبار و تکنولوژیهای دندانپزشکی را به زبان ساده و قابل فهم ارائه دهیم. هدف ما ایجاد بستری برای ارتقاء سطح آگاهی، افزایش بهرهوری در انتخاب و استفاده از تجهیزات دندانپزشکی، بهبود سلامت دهان و دندان، انتشار تجربیات متخصصان و راهنمای بیماران در مسیر درمانی در کنار ارائه آموزشهای عملی و کاربردی است.</p>
تحولی که به زودی تجربه خواهیم کرد
تا چند سال پیش، حرف از رشد مجدد دندان شبیه فیلمهای علمیتخیلی به نظر میرسید. اما تحقیقات اخیر در ژاپن، با کشف دارویی که میتواند سومین مجموعه دندان را در انسان فعال کند، مسیر درمانهای دندانی را زیر و رو کرده. اگر این فناوری به مرحلهی بالینی برسد، میلیونها نفر که به علت پوسیدگی یا ضربه دندانهایشان را از دست دادهاند، میتوانند بدون جراحیهای سنگین و پرهزینه، دوباره صاحب لبخندی سالم شوند.
کلید ماجرا در علم بازسازی بافت است؛ شاخهای پیشرفته که سلولهای بنیادی و فاکتورهای رشد را ترکیب میکند تا بدن را به سمت ترمیم طبیعی سوق دهد. شاید ده سال دیگر مفهوم «دندان مصنوعی» به تاریخ بپیوندد.

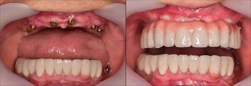
ایمپلنت دندان و واقعیت پشت پرده
یکی از رایجترین درمانها برای جایگزینی دندان از دسترفته، ایمپلنت است. اما آیا این فرآیند همیشه ساده و بدون مشکل است؟ پاسخ کوتاه: نه دقیقا. یکی از سوالات رایج بیماران این است که «ورم بعد از ایمپلنت چند روز طول میکشد؟»
پزشکان میگویند ورم معمولاً بین ۳ تا ۵ روز به اوج خود میرسد و سپس کاهش پیدا میکند. اما عواملی مثل شرایط عمومی بدن، مهارت جراح و حتی نوع ایمپلنت میتواند این مدت را تغییر دهد.
یک بیمار تعریف میکرد:
> «بعد از ایمپلنت، گونهام آنقدر ورم کرده بود که بچهام فکر کرد رژ گونه زدم! ولی پزشکم از قبل توضیح داده بود که این طبیعی است و با کمپرس سرد و دارو به سرعت بهتر شد.»
این تجربهی ساده نشان میدهد اطلاعرسانی درست به بیمار چقدر در کاهش استرس و موفقیت درمان تاثیر دارد.
هوش مصنوعی در خدمت سلامت دهان
هوش مصنوعی دیگر محدود به رباتهای صنعتی و چتباتهای اینترنتی نیست. امروز، نرمافزارهایی وجود دارد که میتواند از روی رادیوگرافی، پوسیدگی یا عفونتهای پنهان ریشه را تشخیص دهد.
در آینده نزدیک، شاید بیمار حتی قبل از ورود به مطب، با اپلیکیشن موبایلی تصویر دندانش را آپلود کند و ظرف چند ثانیه پاسخ اولیه بگیرد.
این فناوری دو مزیت کلیدی دارد:
1. افزایش دقت تشخیص – هوش مصنوعی میتواند نقاطی را ببیند که از چشم انسان پنهان میماند.
2. صرفهجویی در زمان و هزینه – غربالگری سریع بیماران کمک میکند نوبتدهی بهینه شود.
مقایسه درمانها در کشورهای مختلف

یکی از مطالب جالب سایت dentistcommunity.ir مقایسه شرایط دندانپزشکی در اتریش و کانادا است. نتایج نشان داد که:
در کانادا هزینه خدمات بسیار بالاتر است، اما بیمههای درمانی پوشش نسبی خوبی دارند.
در اتریش دسترسی سریعتر به دندانپزشک وجود دارد، ولی نوبت جراحیهای تخصصی ممکن است طولانی شود.
این اطلاعات برای دانشجویان دندانپزشکی که قصد مهاجرت دارند، یک نقشهی راه واقعی ارائه میدهد.
وقتی دندان درد عفونت میکند
هیچ چیز حتی از یک میگرن هم آزاردهندهتر نیست، مگر یک دندانِ عفونت کرده! اگر این مشکل به موقع درمان نشود، میتواند منجر به آبسه و حتی مشکلات سیستمیک شود. درمان معمول شامل تخلیه عفونت، آنتیبیوتیک و در بعضی موارد عصبکشی است. اما نکتهی مهم، جلوگیری از پیشرفت مشکل با معاینههای دورهای است.
خیلی از بیماران وقتی به مطب می آیند که عفونت پیشرفت کرده و کار به جراحی کشیده. یک معاینه سالانه ساده میتواند جلوی این وضعیت را بگیرد.

خرید تجهیزات دندانپزشکی: آنچه باید بدانید
برای یک دندانپزشک موفق، ابزار دقیق همانقدر مهم است که مهارت دست. راهنمای خرید آنلاین تجهیزات دندانپزشکی، به نکات مهمی اشاره میکند:
برند معتبر و دارای گارانتی را انتخاب کنید.
به نظرات دیگر خریداران توجه کنید.
فقط از وبسایتهای قابل اعتماد خرید کنید.
در عصر دیجیتال، خرید اینترنتی دیگر یک انتخاب لوکس نیست، بلکه راهی برای دسترسی سریع به جدیدترین ابزارهاست.
فراتر از درمان: نگاه به پیشگیری
بخش بزرگی از هزینههای دندانپزشکی به راحتی قابل پیشگیری است. مسواکزدن منظم، استفاده صحیح از دهانشویه (خصوصا در کودکان)، و رژیم غذایی سالم، سه اصل طلایی در این مسیر هستند.
برای مثال، دهانشویه در کودکان باید با دقت انتخاب شود؛ غلظت فلوراید و حتی طعم آن اهمیت دارد تا کودک به استفاده ادامه دهد. اگر تجربه تلخی در اولین بار داشته باشد، ممکن است برای همیشه از آن دوری کند.
آیندهای روشن برای لبخند ما
دنیای درمانهای دندانپزشکی به سرعت در حال تغییر است. ترکیب پژوهشهای علمی، فناوریهای نوین و آگاهی بیماران باعث شده امروز با اطمینان بیشتری به دندانپزشک مراجعه کنیم. شاید در آینده نزدیک، نهتنها بدون درد، بلکه حتی بدون نگرانی، لبخندی تازه و سالم روی صورتمان باشد.
تحقیقات بینالمللی، پیشرفتهای بومی، و استفادهی هوشمندانه از ابزار دیجیتال، همگی نشان میدهند که ما در ابتدای یک انقلاب واقعی در دندانپزشکی هستیم. از ایمپلنتهای کمتهاجم تا داروهای بازسازنده، مسیر روشنی پیش روی این علم قرار دارد. اگر به دنبال بهترین گزینه درمانی برای دندانهای خود هستید، امروز اقدام کنید. با کمک مطالب سایت https://dentistcommunity.ir/category/dental-treatment/ مشاورهی حرفهای بگیرید، آخرین تکنولوژیها را بشناسید و برای سلامت لبخندتان ارزش قائل شوید. آینده لبخند شما، همین حالا ساخته میشود.